
Качественное лечение зубов начинается с точной диагностики. В Авторской стоматологии «Созвездие» мы применяем передовые технологии, которые позволяют детально изучить состояние зубов и полости рта, выявить скрытые проблемы и подобрать наиболее эффективный план лечения.
Наш подход основан на 4-этапной комплексной диагностике, включающей:
В нашей клинике используется передовое европейское оборудование, обеспечивающее высокую точность диагностики при минимальной лучевой нагрузке. Это особенно важно для пациентов, которым требуется частый рентгенологический контроль, а также для детей и беременных женщин.
Кроме того, анализ всех рентгенограмм проводитсяс помощью искусственного интеллекта Diagnocat. Этот передовой алгоритм сравнивает снимки с обширной базой данных и помогает выявлять даже малозаметные проблемы ещё до появления симптомов. Такой подход делает диагностику максимально точной, а лечение – наиболее эффективным.
Работа главного врача клиники - Хохлова Андрея Анатольевича
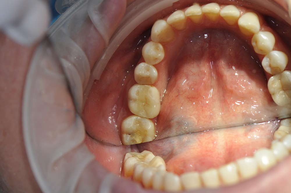
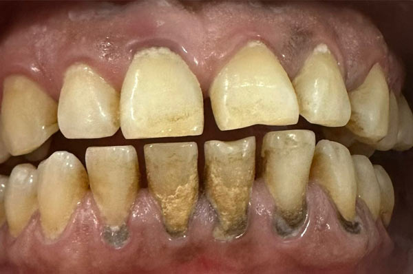
Пациентка обратилась в клинику за лечением и реставрацией полости рта. Пациентке было проведено: профгигиена, эндодонтическое лечение одного жевательного зуба и лечение поверхностного кариеса. Затем установлены циркониевые коронки и циркониевый виниры на передний нижний ряд.
Работа главного врача клиники - Хохлова Андрея Анатольевича
Работа главного врача клиники - Хохлова Андрея Анатольевича
до
после
Работа стоматолога гигиениста Авторской стоматологии "Созвездие"
Primescan позволяет снимать высокоточные цифровые слепки всей челюсти
Бинокуляры Q-Optics предназначены для того, чтобы увеличить комфорт и точность в работе доктора
SpectroShade Micro - дентальный спектрофотометр способен обозначить все неоднородности на поверхности зуба
Система Vector позволяет проводить лечение пародонтита, пародонтоза, переимплантита и других заболеваний десен и пародонта
В нашей Авторской клинике «Созвездие» вы увидите чудеса цифровой стоматологии: мы создадим вашу улыбку на компьютере, подберем виртуальные варианты ее преображения с учетом индивидуальных особенностей лица и воплотим вашу мечту в жизнь. Особое внимание мы уделяем эстетике улыбки и тому, чтобы даже самые белоснежные зубы выглядели естественно.
«Уют даже в мелких деталях» — теперь так можно сказать не только про родной дом или городские кафе с интерьером комфортабельной квартиры, но и про нашу Авторскую стоматологию «Созвездие» под руководством Андрея Анатольевича Хохлова, которая находится в Хохловском переулке. Наша клиника открывает новое направление на бьюти-рынке и демонстрирует пример привычного для европейцев стандарта по уходу за собой, а также предлагает меню, включающее инновационные методики лечения, anti-age-реконструкцию улыбки, направленную на коррекцию овала лица, и авторские методики по эстетическому моделированию улыбки.
В едином пространстве уютной квартиры, которая делится на гостиную и три функциональных кабинета, соединяются инновационные технологии и стремление поддержать естественную красоту. Здесь для каждого пациента мы создаем атмосферу домашнего тепла и гостеприимства.
Более 3 000 благодарных пациентов за 6 лет
Медицинская лицензия
ЛО-77-01-016470
от 8 августа 2018 года
ООО "Созвездие"
ИНН 7751048249
ОГРН 1177746539651
Имеются противопоказания, необходима консультация специалиста. Сайт не является публичной офертой и носит ознакомительный характер




